7.3
Melanosis
MARKUS J. PFEIFFER
Introducción
La melanosis es la coloración oscura de la piel o de la conjunctiva por la acumulación de melanina. La melanosis es un síntoma, que puede ser relacionado con varios diagnósticos. Se pueden observar múltiples formas de melanósis con una gama muy amplia entre lo normal y lo patológico, entre formas benignas y malignas, entre melanosis de la piel y de la conjuntiva y formas congénitas e adquiridas.
Pigmentación normal
Una pigmentación de la conjuntiva y de la piel es normal en personas con el fototipo de piel VI. Pacientes con el fototipo V pueden tener una pigmentación zona periocular más pronunciada que en el resto de la cara.
Pseudopigmentación
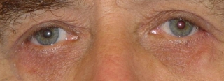
Una pseudopigmentación (Fig.1) puede resultar como efecto de la dermatochalasis. La piel parece más oscura por la multitud de pliegues finos.
Abstract
Clasificación (clasification)
Diagnóstico diferencial
![]() |
![]() |
Fig.1.: Pseudopigmentación por la formación múltiples pliegues finos de la piel. |
Fig.2.: La pseudopigmetación ha desaparecido después de la blefaroplástia. |
![]() |
![]() |
Fig.3: |
Fig.4: |
MELANOSIS CONJUNTIVAL
Nevus ota
El nevus ota es congénito o aparece en la pubertad, sobre todo en chicas. Puede afectar la conjuntiva, la esclera y la piel. Aparece en manchas planas de un tono azulado. Se puede tratar con laser. La malignización es poco frecuente.
Melanosis primaria adquirida de la conjuntiva (PAM)
Son lesiones pigmentadas de la conjuntiva, que se forman en pacientes adultos. Hay riesgo de malignización (3/4 de las melanomas conjuntivales nacen de una melanosis de la conjuntiva mientras 1/4 tienen un nevus conjunctival como precedente).
|
|
. |
|
. |
|
|
|
|
|
|
|
|
|
. |
|
|
|



