1.1 Blefaroplastia superior
MARKUS J. PFEIFFER
Resumen
La blefaroplastia superior es la intervención estética más frecuente. No sólo cirujanos oftalmólogos realizan blefaroplastias, sino también cirujanos de otras especialidades. La mayoría de las blefaroplastias son simples y pueden tener un resultado bueno con una técnica quirúrgica sencilla. El resto de las blefaroplastias tienen un detalle complicado y precisan una técnica más especializada para conseguir un resultado simétrico y satisfactorio. Una blefaroplastia es complicada cuando hay defectos que causan asimetría o defectos asociados a patología palpebral. Es recomendable diferenciar si se trata de una blefaroplastia simple o complicada.
Abstract
Upper lid blepharoplasty can be considered to be one of the most frequent operations carried out by a variety of different surgical specialities, ophthalmologists and non-ophthalmologists. The eye´s function and expression should play the primary role in the concept of blepharoplasty. The surgery is recommended to be planned in a centrifugal manner, from the eye to the lids. The concern about the eye`s function and the eye´s protection has to be the guideline in any eyelid surgery. This chapter is written from an opthalmologist´s point of view. The details of anatomy are described in order to reveal their geometric role in the eyelid appearance and functional dynamics. Instead of proposing a standard technique, I will try to analize multiple antomical factors in order to make the results of upper lid surgery more predictable. The predictability of the result is the main key to the patient´s satisfaction because it is the only way to find a realistic balance between the patient´s expectations and the surgeon´s possibilities.
![]() |
![]() |
|
Pliegue palpebral
El pliegue palpebral es un pliegue de la piel, que se forma en el párpado superior para permitir el cierre del párpado y el parpadeo sin restricción. Su posición tiene que ser más alta que las pestañas para evitar que la piel las cubra. Para conseguir un pliegue estéticamente satisfactorio y funcionalmente adecuado, durante la cirugía, se debe conservar suficiente piel y crear un surco para que la piel pueda formar un pliegue hacia atrás.
Surco palpebral
El surco palpebral es la estructura básica que determina la formación del pliegue de la piel (palpebral). Antes de pensar en la cirugía del la piel, es necesario determinar la posición del surco. La posición del surco se puede cambiar con una cirugía de las capas anatómicas posteriores a la piel, el músculo orbicular, el septo orbitario, la grasa orbitaria y la grasa de la ceja.
![]() |
![]() |
| Fig.3: Surco palpebral (línea roja) entre la superficie tarsal (amarillo) y septal (azul), pligue de la piel palpebral (línea verde) delante el surco. |
Fig.4: Cirugía de las capas anatómicas posteriores de la piel y dentro de la cavidad de la órbita. Excisión de grasa con el láser de CO2 para mejorar el surco papebral. |
Examen preoperatorio
El examen preoperatorio es fundamental para conseguir la simetría de ambos lados. Todos tenemos un ojo dominate y tendemos a subir la ceja más en el lado del ojo dominate. Por eso un exámen oftalmológico es importante para evitar que la blefaroplastia pronuncie una asimetría, que resultará más visible después de la intervención.
Técnica quirúrgica
Se realiza la incisión en la piel a una distancia de 7 a 10 mm desde el margen palpebral para esconder la línea de incision en el pliegue palpebral que se va a formar a un nivel más alto después de la intervencón.
El músculo orbicular se encuentra debajo de la piel, se divide a la misma altura para acceder al septo orbitario, la membrana del septo se abre por toda su anchura para acceder a la cavidad orbitaria, la sección del septo mejora la formación del surco palpebral.
Tras haber abierto el septo se expone la grasa orbitaria, dicha grasa se puede reducir en su volumen en aquellos casos en los que inhiba la formación del surco y del pliegue.
La grasa orbitaria se divide en varios compartimientos, la central, la intermedia y la medial. Se pueden reducir en su volumen o transponer para formar el surco deseado.
![]() |
![]() |
Fig.5: M= grasa medial I= grasa intermedia C= grasa central Gl= glándula lagrimal |
Fig.6: Acceso a la grasa medial con el láser CO2 |
Tipos de blefaroplastias: la blefaroplastia natural
El pliegue de la piel se apoya en la línea de las pestañas. Para elevar el pliegue, se necesita una blefarop¡astia completa con cuidado de no elevar el pliegue excesivamente y mantener la expresión natural.
![]() |
![]() |
Fig. 7: Preoperatorio: el pliegue ha bajado hasta el margen palpebral, se apoya en las pestañas y dificulta el maquillaje. |
Fig. 8: Postoperatorio: el pliegue se ha elevado 1,5 mm sin cambiar la expresión de la mirada. |
Tipos de blefaroplastias: la blefaroplastia con elevación moderada del pliegue
La blefaroplástia moderada no cambia la expresión de la mirada profundamente.
![]() |
![]() |
Fig. 9: Blefaroplástia moderada antes y después |
Fig. 10: Blefaroplástia moderada antes y después |
Tipos de blefaroplástias: blefaroplastia con elevación pronunciada del pliegue con cejas altas
La minoría de los pacientes piden un surco alto del párpado superior. Situamos normalmente el surco a una distancia de 7 a 9mm del margen palpebral. Si hay cejas altas y una buena apertura palpebral se puede elevar el surco más alto que 10mm.
![]() |
![]() |
Fig. 11: Preoperatorio: Paciente con cejas altas antes de la blefaroplástia. |
Fig. 12: Postoperatorio: Surco alto después de la blefaroplástia. |
Tipos de blefaroplastias: la blefaroplastia con cejas bajas, sin operar las cejas
No es necesario elevar las cejas en todos los casos. Si queda poco espacio libre entre ceja y párpado se puede realizar una blefaroplástia con un resultado satisfactorio.
![]() |
![]() |
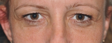
Fig. 13: Preoperatorio: Paciente con cejas bajas antes de la blefaroplástia. |
Fig. 14: Postoperatorio: Después de la blefaroplástia, sin elevar las cejas |
con un resultado satisfactorio.
![]() |
![]() |
Fig. 15: Preoperatorio: Paciente con hérnia de la glándula lagrimal bilateral. |
Fig. 16: Postoperatorio: Después de la bléfaroplástia y reposición de la glándula lagrimal en la órbita. |
Complicaciónes de la blefaroplastia superior
Las complicaciones más frequentes son la asimetría (ver simetría) o la resección excesiva (ver retracción superior).















