3.4.3 Canto lateral redondo
MARKUS J. PFEIFFER
Introducción
El ángulo del canto lateral es normalmente más agudo que el ángulo del canto medial. Si el ángulo del canto lateral se transforma en un ángulo obtuso ó incluso en una forma redonda suele haber una tracción centrífuga al párpado inferior o superior. La tracción puede estar provocada por un defecto de la lamela anterior, intermedia o posterior. La causa puede ser un traumatismo o una cirugía inadecuada. El defecto se puede corrigir mediante una cantoplastia y la substitución del tejido de la lamela afectada.
Abstract
The lateral canthal angle is normally acute. If it suffers a transformation to an obtuse angle, or even a circular form, the cause is often a centrifugal traction on the lower or the upper lid. The traction can arise from defects of the anterior, intermediate or posterior lamella after trauma or inapropriate surgery. The defects can be corrected by cantoplasty and lengthenig of the affected lamella.
Exploración del canto lateral redondo
Es fácil detectar una falta de piel. Si la tracción está localizada en la lamela intermedia (septo orbitario o ligamento órbitopalpebral), es más difícil verficar la causa. Un defecto de la lamela posterior del párpado superior (tarsoconjunctiva) lateral puede causar un canto lateral redondo y provoca síntomas crónicas por el parpadeo incompleto.
Cirugía del canto lateral redondo
Si la retracción se atribue a una falta de piel o de conjunctiva hay que injertar piel (injerto de piel) o mucosa (injertos de mucosa). Las retracciones de la lamela intermedia (septo y ligamento orbitomalar) se liberan con la sección de la fibrosis entre el tarso y el margen orbitario se puede rellenar el defectos con injertos de dermis. En todos los casos siempre será necesario combinarlo con una cantoplastia lateral (cantoplastia).
![]() |
![]() |
Fig. 1: El ángulo del canto lateral es normalmente más agudo que el ángulo del canto medial. |
Fig. 2: La tracción centrifugal (flechas amarillas) en el párpado inferior o superior provoca una canto redondo con ángulos obtusos. |
![]() |
![]() |
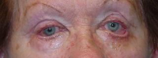
Fig. 3: Preoperatorio: Paciente después de una blefaroplástia con resección excesiva y tracción de la lamela anterior: Hay ángulos laterales obtusos.
|
Fig. 4: Postoperatorio: los cantos laterales se han cambiado en ángulos agudos después de haber liberado la retracción de todas las lamelas y haber elevado el párpado inferior con un lifting malar. |
![]() |
![]() |
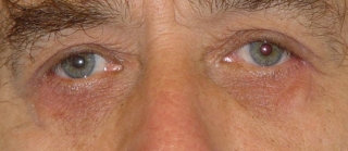
Fig. 5: Preoperatorio: canto lateral redondo con ángulo obtuso por retracción del párpado inferior |
Fig. 6: Postoperatorio: ángulo lateral agudo después de una cantoplástia y un injerto de piel subciliar. |
![]() |
![]() |
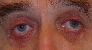
Fig. 7: Preoperatorio:. el canto lateral derecho está redondo después de una complicación de blefaroplástia. Queda suficiente superficie de la lamela anterior y posterior. La retracción está causada por retracción de la lamela intermedia (septo y músculo orbicular). |
Fig. 8: Postoperatorio: el párpado inferior derecho se ha liberado por la tracción de la lamela intermedia mediante sección del septo y del ligamento orbitomalar. |
![]() |
![]() |
Fig. 9: Preoperatorio: Canto lateral redondo retraído por falta de superficie de la lamela posterior del párpado superior (conjunctiva palpebral). |
Fig. 10: Postoperatorio: Después de haber injertado mucosa bucal con espesor parcial para reemplazar la conjunctiva (injertos de mucosa). |









