1.6 Blefaroptosis inferior
(descenso lateral del párpado inferior)
MARKUS J. PFEIFFER
Introducción
1.6 Blefaroptosis inferior
(descenso lateral del párpado inferior)
MARKUS J. PFEIFFER
Introducción
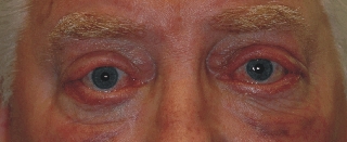
Normalmente el párpado inferior asciende desde el ángulo interior (canto medial) hacia el ángulo exterior (canto lateral). Es estéticamente favorable si el ángulo exterior está situado más alto que el ángulo interior. Un ángulo exterior más alto produce una forma almendrada del ojo. Es estéticamente aceptable si los dos ángulos están en la misma altura. Es estéticamente desfavorable si el ángulo exterior está situado más bajo que el ángulo interior (Fig.1). Un párpado inferior, que desciende lateralmente además dificulta el drenaje lagrimal. El descenso lateral del párpado inferior puede ser congénito o adquirido. Se corrige con una cantoplastia lateral y con desinserción de la lamela posterior y ligamento orbitomalar.
Abstract
The lower lid normally rises form the medial angle (medial canthus) to the lateral angle (lateral canthus). For aesthetic reasons it is preferable to find the lateral canthus in a higher position than the medial canthus. The higher position of the lateral canthus produces an almond shaped appearance of the eye. It´s aesthetically aceptable to have both angles at the same level. It is considered unaesthetical to find a lower position of the lateral canthus (Fig.1). The lateral droop of the lower lid also reduces lacrimal drainage. A laterally descending lower lid can appear congenital or aquired. It can be corrected by a lateral canthoplasty with release of the posterior lamella and the orbitomalar septum.
![]() |
![]() |
Fig. 1: Antes de operar: descenso lateral de los párpados inferiores. |
Fig.2. Después de operar: elevación del párpado inferior por cantoplastia lateral. |
La geometría del párpado inferior
Por su elasticidad y la tensión del músculo orbicular el párpado se coloca en una posición que coincide con el trayecto más corto entre el ángulo interno y el ángulo externo de la apertura palpebral. Si el ángulo lateral está más bajo que la línea ecuatorial, el párpado tiene la tendencia de bajar incluso más porque se colocara en el trajecto más corto (Fig.3 y 4).
![]() |
![]() |
| Fig.3.: La goma roja representa la elasticidad del margen palpebral y está colocada en el ecuador del globo entre los ángulos (flechas rojas). Si el ángulo lateral desciende (flecha amarilla), el párpado tiende a descender incluso más (linea amarilla). |
Fig.4: El ángulo lateral (canto lateral) tiene que estar como mínimo al mismo nivel (linea roja superior) que el ángulo medial (canto medial). |
![]() |
![]() |
Fig.5: Antes de operar: El ángulo lateral está mas bajo que el ángulo medial. |
Fig.6: Después de operar: El ángulo lateral se ha elevado al nivel del ángulo medial. |
Técnica quirúrgica de la cantoplastia lateral
Esta intervención se puede combinar con una blefaroplastia inferior y además, por solo una pequeña ampliación de la incisión hacia lateral nos permite llegar a toda la zona malar. El acceso es una pequeña incisión por el ángulo lateral, que nos permite llegar hasta el periostio del hueso cigomático donde tenemos que fijar el párpado en la pared interior de la órbita. Antes hay que desinsertar los ligamentos orbitomalares, que retraen el párpado hacia abajo. Ver 3.4 CANTOS.
Blefaroptosis inferior adquirida por laxitud
Con los años de vida se pierde la firmeza y la tensión de los ligamentos palpebrales y se observan caídas del nivel del párpado. La posición del párpado inferior se puede corregir con una cantoplastia lateral.
![]() |
![]() |
Fig.7: Antes de operar: descenso del los párpados inferiores por laxitud del tejido conectivo. |
Fig.8: Después de operar: elevación del los párpados inferiores a una posición normal. |







