3.4.5 Defectos del canto medial
MARKUS J. PFEIFFER
Introducción
Los defectos del canto medial no solo forman desviaciones que tambien son encontrados en el canto lateral (canto lateral bajo, canto lateral alto, canto lateral redondo, telecanto lateral), sino una mayor variedad debido a la mayor complejidad de la anatomía del canto medial. Lo más frecuente es el epicanto medial y pseudoepicanto medial , que tratamos en el próximo capítulo. Hay otros defectos muy raros, como el canto medial del centauro o el coloboma medial. Todas las deviaciones del canto medial son más dificil del corregir que los defectos del canto lateral.
Abstract
To some extent, the defects of the medial canthus can be similar to the described lateral canthal deformities, but due to the complex medial canthus anatomy, there is found a even greater variety of deviations. Medial canthal defects are usually very rare and they are more difficult to correct than lateral canthal defects. Medial epicanthus and pseudoepicanthus is the most frequent deviation and will be discussed in the next chapter.
Características anatómicas del canto medial
En comparación con el canto lateral, el canto medial tiene tres características claves que determinan su anatomía más compleja: 1. Hay una concavidad de la superficie entre los puntos lagrimales y el canto que se juntan con la covexidad del resto del párpado 2. Hay ligamentos profundos y superficiales, que corresponden a dos vectores en direcciones distintas (anterior y posterior), 3. Hay el aparato de drenaje lagrimal entre los ligamentos que impide la transsección de los ligamentos para evitar lesiones de los conductos.
Defectos del canto medial: epicanto, telecanto, hipocanto y retracción cantal
El epicanto congénito se observa en el párpado normal asiatico, el hipertelorismo, el síndrome de Down, y el síndrome de blefarofimósis. El epicanto adquirido puede ser un defecto causado por cirugía estética o por un trauma del canto medial (Fig.3). El telecanto medial (Fig.5) se debe a una laxitud del los ligamentos cantales mediales y una desinserción medial del músculo orbicular. El hipocanto (Fig.6) es un defecto congénito raro. La retracción del canto medial (Fig.7) suele ser causado por un trauma entre el canto y la hueso nasal.
Cirugía de los defectos del canto medial
La lamela posterior se reconstruye independientemente de la lamela anterior. Lo más importante es recuperar la fijación posterior (Fig. 2). Para conseguir una conexión con la cresta lagrimal posterior, podemos aprovechar de la capa de los retractores mediales, que forman una continuidad con el ligamento palpebral posterior. La cirugía del los retractores mediales es muy efectiva y más facil que el intento de buscar el ligamento medial. Después de la fijación posterior se corrige el defecto anterior. El epicanto medial es un pliegue, que se forma delante del canto medial. La causa más frecuente del epicanto es la falta de piel y la tracción.
![]() |
![]() |
Fig. 1: El canto medial (MC) forma un ángulo en el punto lagrimal, mientras el canto lateral (CL) está situado tangencial a la superficie del globo ocular. |
Fig. 2: El ángulo del del canto medial se forma entre el ligamento posterior (p), que sigue tangencial al la superficie del globo ocular hacía la cresta lagrimal posterior y el ligamento anterior (a), que aleja el párpado del globo ocular hacía la su inserción en la cresta lagrimal anterior. Los canalículos lagrimales se encuentran entre los dos vectores (a,p). |
![]() |
![]() |
Fig. 3: Preoperatorio: defecto traumático del canto medial con retracción del párpado inferior y pseudoepicanto medial |
Fig.4: Postoperatorio: después de haber corregido la lamela posterior (retractores y ligamento medial posterior) y la lamela anterior (epicantoplástia). |
![]() |
![]() |
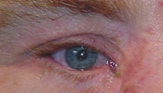
Fig. 5: Telecanto medial causado por la laxitud de los ligamentos cantales mediales y la desinserción medial del músculo orbicular. |
Fig.6: Hipocanto congénito con inserción atípica de los ligamentos mediales. |
![]() |
![]() |
Fig. 7: Retracción medial del canto por trauma. |
Fig.8: Postoperatorio: Fijación medial de los ligamentos |
|
|







