1.7 Bolsas malares
MARKUS J. PFEIFFER
Introducción
Hay que diferenciar tres formas de bolsas en el párpado inferior:
1. bolsas de grasa orbitaria (ver 1.5)
2. festones (ver 1.8)
3. bolsas malares.
Las bolsas de grasa orbitaria se localizan más profundas en la órbita y los festones se encuentran más superficiales que las bolsas malares. Cada forma de bolsa hay que operarla con una técnica específica, pero se puede usar un acceso común por el ángulo exterior (canto lateral). Las bolsas malares se forman encima del hueso cigomático en la capa de la grasa del SOOF que se encuentra debajo del músculo orbicular, son visibles sobre todo en su transición con la fina superficie de piel del párpado inferior. Esta zona de transición se encuentra en el borde orbitario donde se forma el surco orbitomalar,ver 1.9 Surco malar.
Abstract
There are three types of lower lid bags:
1. orbital fat (1.5)
2. festoons (1.8)
3. malar bags.
In comparison to the malar bags, the orbital fat is found in a deeper layer in the orbit and the festoons appear in a more superficial layer. Every type of bags has to be operated by a different technique, but all can be approached through the same incision at the lateral angle (lateral canthus). Malar bags form anteriorly to the zygomatic bone in the layer of the submuscular fat (SOOF). They are mostly visible beyond the orbital border and the orbitomalar sulcus 1.9 Surco malar. , where they join the neighbouring thinner layer of the lower lid skin.
![]() |
![]() |
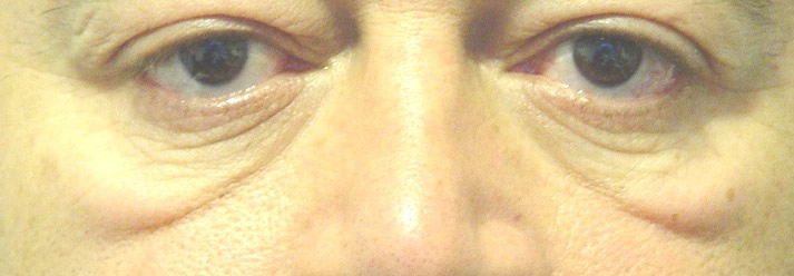
Fig. 1: Bolsas malares antes de operar. Están situadas debajo del margen orbitario inferior. |
Fig.2. Después de operar: las bolsas malares se han elevado y extendido a un nivel mas alto debajo el canto lateral, donde llenan una cavidad del hueso cigomático. |
Técnica quirúrgica
El acceso ideal es la cantotomía lateral. Es recomendable combinar la intervención con una cantoplastia lateral para asegurar una suficiente altura del párpado inferior (1.6
Blefaroptosis inferior). Desde allí se abre el espacio delante el hueso malar para liberar la grasa malar y elevar la capa de piel, el músculo orbicular y la grasa malar. No es necesario la preparación debajo del periostio. Se fija la capa musculocutánea a un nivel más alto al periostio de la columna cigomática con suturas de Nylon 5-0.
![]() |
![]() |
| Fig.3.: Diferentes formas de bolsas: las tres bolsas de la grasa orbitaria (arriba), los festones (abajo en el centro) y la bolsa malar (lateral) |
Fig.4: Las bolsas malares estan formadas de la grasa malar (SOOF) delante del hueso cigomático (zona amarilla). El acceso ideal es por cantotomía lateral (línea roja). |
![]() |
![]() |
Fig.5: La flecha blanca corresponde a la línea ideal para el márgen palpebral inferior, que tendrá que subir lateralmente. La flecha negra marca la elevación de la zona malar. La línea negra punteada no se puede cruzar en la preparación hacia abajo para no dañar nervios faciales. |
Fig.6: En la cirugía con laser CO2 hay que proteger el ojo con una lentilla de acero. La incisión en el ángulo lateral se amplía hasta la zona malar sin hemorrágias. Hay que extenderla hasta la zona malar sin dañar nervios faciales. De esta forma toda la zona malar estará movilizada para elevarla. |
Complicaciónes
La complicación más grave sería una retracción palpebral causado por una resección excesiva de tejido. Esta complicación se puede reparar con una cantoplastia lateral y una sustitución de tejido (2.1.4 Retracción inferior). La complicación más frecuente es la hipocorección, no es grave, pero require una reintervención. El edema conjuntival es muy habitual y se resuelve en 3 semanas.





