3.5.7
Ptosis miogénica / Oftalmoplégia progresiva externa
MARKUS J. PFEIFFER
Introducción
3.5.7
Ptosis miogénica / Oftalmoplégia progresiva externa
MARKUS J. PFEIFFER
Introducción
La oftalmoplégia progresiva externa es una debilidad progresiva de los músculos extraoculares (Músculos rectos, oblicuos y el músculo elevador) debido a un defecto hereditario mitocondrial. Hay una progresiva reducción de la motilidad ocular con una ptosis complicada por la falta del fenómeno de bell. Se puede corregir con una supensión a la ceja (o el músculo frontal, que suele funcionar normalmente). La supensión debe ser mínimasólo para destapar el eje óptico y no inhibir el cierre ocular.
Cirugía: Suspensión mínima a la ceja (músculo frontal)
La supensión transmite el movimiento de la ceja al tarso del párpado por un colgajo de la fascia del órgano de Charpy (fascia del cojín de grasa debajo de la ceja), que tiene una importante motilidad vertical.
![]() |
![]() |
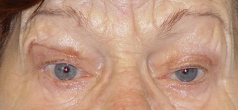
Fig. 1: Preoperatorio: Ptosis miógena bilateral. Los párpados superiores cubren el eje óptico. |
Fig.2. Postoperatorio después de una semana: la fascia, que cubre el cojín de grasa (Charpy) debajo de la ceja se ha conectado con el tarso para trasmitir la elevación de la ceja al párpado. |
![]() |
|
| Fig.3.: Resultado postoperatorio a 3 semanas. Mediante la elevación de las cejas la paciente puede elevar y cerar los parpados superiores. |
|


