3.3.4 Retracción superior en la orbitopatía tiroidea

MARKUS J. PFEIFFER

Introducción

La retracción superior es el síntoma más frecuente en la orbitopatía tiroidea (5.1). La causa es un proceso inflamatorio autoimune de la órbita. La retracción superior primaria se produce porque la inflamación ha afectado el músculo elevador o el músculo de Müller. Si la inflamación no se trata a tiempo con antiinflamatorios (esteroides), el proceso puede terminar en una fibrosis con pérdida de la elasticidad de los tejidos orbitarios y retracción permanente del párpado. La fibrósis del músculo recto inferior puede causar una retracción secundaria del párpado superior por un mecanismo de compensación. En un exoftalmo pronunciado se puede observar una pseudoretracción. Las tres formas de retracción se tratan con una cirugía diferente:

Retracción primaria: cirugía para debilitar el músculo elevador

Retracción secundaria: cirugía para debilitar el músculo recto inferior

Pseudoretracción: Descompresión orbitaria

Abstract

Upper lid retraction is the most common symptom fo Graves disease (5.1) It is caused by an autoimmune inflammatory process of the orbit. Primary upper lid retraction is caused by an inflammation of the levator muscle or Müllers muscle. If the inflammation is not treated by steroids or other antiinflammatory medication, it can progress to permanent fibrosis and loss of the elasticity of the muscles. The fibrosis of the inferior rectus muscle can cause a secondary retraction of the upper lid. In marked proptosis we can observe a pseudoretraction of the upper lid. The three types of upper lid retraction need different surgery.

Primary retraction: Surgery to lengthen te levator structures

Secondary retraction: Surgery to recess the inferior rectus muscle

Pseudoretraction: Orbital decompression

Retracción primaria del párpado superior en la orbitopatía

La retracción primaria del párpado superior está basada en una inflamación o fibrosis de los retractores, que produce una pérdida de su elasticidad y causa una posición más alta del párpado superior. La lamela anterior está intacta mientras la lamela posterior con el músculo elevador y el músculo de Müller sufre una falta de elasticidad o incluso una retracción.

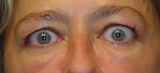
Fig. 1: Retracción primaria pronunciada de ambos párpados superiores con exoftalmo moderado.

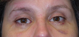
Fig. 2: Postoperatorio después de haber debilitado el músculo elevador y el músculo de Müller. So observa una altura normal de los párpados, pero una posición alta de los surcos palpebrales.

 

Fig. 3: Retracción primaria moderada del párpado superior derecho.

Fig. 4: Postoperatorio después de haber debilitado el músculo elevador en un nivel alto cerca del ligamento de Whitnall. Con esta técnica se observa menos subida del surco palpebral.

 

Técnica quirúrgica para la retracción primaria del párpado superior en la orbitopatía

Se usa un acceso transcutaneo como para la cirugía de la ptosis. Se abre el septo orbitario, para acceder al músculo elevador. Si se aplica la sección en un nivel más alto cerca del ligamento de Whitnall solo se necesita una incision corta (Fig. 5). Para localizar el nivel de la incisión, se puede introducir una espatula en el fornix superior y cortar donde se marca el extremo de la espatula (Fig. 7, 8). En casos de mucha fibrosis hay que ampliar la seccion alta a ambos lados para cortar las fibras periféricas, que quedan conectadas con el tarso (Fig. 6)

 

Fig. 5: La linea roja larga demuestra la sección de la aponeurósis en un nivel bajo. Si se aplica la sección en un nivel más alto cerca del ligamento de Whitnall se necesita una incision menos ámplia.

Fig. 6: En casos de mucha fibrosis hay que ampliar la seccion alta a ambos lados para cortar las fibras periféricas, que quedan conectado con el tarso.

 

Retracción secundaria del párpado superior en la orbitopatía

La retracción secundaria del párpado superior está basada en una inflamación o fibrosis del músculo recto inferior. Esto produce una pérdida de su elasticidad y causa una restricción, que impide la mirada hacia arriba y dificulta la mirada hacia delante. Como consecuencia se activa un mecanismo de compensación con hiperactividad del músculo recto superior conjunto con el elevador. El resultado es una altura excesiva de los párpados superiores (Fig. 9).

Diagnóstico

Si la retracción secundaria desaparece cuando el paciente mira hacia abajo (Fig. 10), podemos diagnosticar una

Fig. 9: Retracción secundaria por fibrosis de los músculos rectos inferiores. La compensación es la hiperactividad del músculo recto superior conjunto con el elevador. Esto provoca una altura excesiva de los párpados superiores.

Fig. 10: Diagnóstico de la retracción secundaria: la retracción secundaria desaparece cuando el paciente mira hacia abajo.

 

Pseudoretracción inferior por exoftalmo

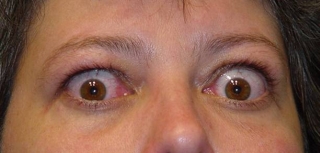
Unos casos la exoftalmo (proptosis) puede causar una posición del párpado superior más alto, porque el globo está desplazado hacía delante y el párpado superior queda atrás. Se evalúa con las mediciones de proptosis de Hertel. Este fenómeno se puede definir como pseudoretracción. Si el globo está desplazado hacía delante (exoftalmo), el margen del párpado superior tiene la tendencia de subir a una posición más alta que el limbo corneal (Fig.1,2). La pseudoretracción está causada por dos factores, primero el exoftalmo y segundo la posición del músculo orbicular encima del ecuador del globo.

La posición normal del párpado superior cerrado coincide con la circumferencia entre los dos cantos y tangencial al limbo corneal inferior. La posición del margen palpebral abierto es parecida a una hipérbola, que forma una linea más larga que la circumferencia del párpado cerrado. El exoftalmo causa una desviación del párpado superior hacía arriba. La pseudoretracción puede aumentar por el efectos de la posic¡on más alta del músculo orbicular, que, por su tensión, tiende a alinearse en una una curva más alta y un radio más pequeño.

Fig. 11: Normalmente el eje entre los cantos (punto gris) está situado delante del eje horizontal del globo ocular. El párpado superior abierto está situado en una curva hiperbólica entre los cantos (canto lateral= punto gris) cuya circumferencia está más larga que la circumferencia del parpado cerrado, que está más corta. La tensión del músculo orbicular tiene efectividad para cerrar.

Fig. 12: En el exoftalmo el eje entre los cantos puede estar detrás del eje horizontal del globo ocular. Asi la circumferencia del margen palpebral abierto está igual o menos que la circumferencia del margen palpebral cerrado. Así el músculo orbicular no tiene efectividad para cerrar y contribue a la retracción.

 

Fig. 13: En el exoftalmo el eje entre los cantos (punto verde) puede incluso estar detrás del eje horizontal del globo ocular (punto rojo). Asi el radio y la circumferencia del margen palpebral abierto (punto amarillo) está igual o menos que la circumferencia del margen palpebral cerrado (punto azul) y el músculo orbicular no tiene efectividad para cerrar y contribue a la retracción. La correción quirúrgica tiene que incluir la descompresión orbitaria.