3.3.1 Retracción inferior cicatricial

MARKUS J. PFEIFFER

Introducción

La retracción cicatricial simple del párpado inferior es muy frecuente. Si solo afecta la lamela anterior se puede curar con un injerto de piel y una cantoplástia. La retracción cicatricial complicada del párpado inferior es rara y afecta a la lamela anterior, posterior y la intermedia y necesita una cirugía compleja de separación de las lamelas para corregir cada lamela separadamente.

Abstract

Simple cicatricial retraction of the lower lid is very frequent. It only affects the anterior lamella and can be corrected by a lateral cantoplasty and a skin graft. Complicated cicatricial lower lid retraction is rare. The retraction includes the anterior, the posterior and intermediate lamella. To repair complicated lower lid retraction, the lamelas must be separated in order to correct each lamela by it´s own.

Diagnóstico

Tiene mucha importancia diferenciar si se trata de una retracción simple o complicada del párpado inferior. Primero hay que evaluar los datos de la historia clínica. Una lesión de la piel provocada por una excisión excesiva en la blefaroplástia inferior, un eczema crónico de la piel o una quemadara suele afectar solamente la lamela anterior. Pero un traumatismo con perforación o contusión, una cirugía con acceso transpalpebral al margen orbitario o suelo orbitario pueden causar una retracción complicada, que afecta a todas las lamelas. Para comprobar el estado de la lamela posterior hay que ectropionar el párpado para examinar la conjunctiva y el fornix palpebral.

Retracción inferior simple

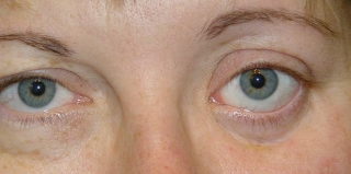
La retracción simple sólo afecta a la piel. La causa más frecuente es la resección de piel excesiva en una blefaroplástia inferior (Fig. 1,2) o una traumatismo (Fig.3,4). Para la solución quirúrgica siempre se necesita un injerto de piel (2.2.5 Injertos de piel ).

Fig. 1: Retracción simple con pérdida excesiva de piel después de una blefaroplástia inferior.

Fig. 2: Correción con injertos de piel y cantoplástia lateral.

 

 

Fig. 3: Retracción simple por quemadura del párpado inferior derecho.

Fig. 3: Correción con injerto de piel.

 

Retracción inferior complicada

La retracción inferior complicada no sólo afecta a la piel, sino también a la lamela posterior y intermedia. La causa más frecuente son lesiónes transpalpebrales, como laceraciónes perforantes o cirugía maxilofacial para acceder al margen orbitario o al suelo orbitario. Otra forma de la retracción inferior complicada se encuentra en la orbitopatía tiroidea (3.3.3 ).

Fig. 1: Retracción complicada por laceración de todas las lamelas depués de cirugía maxilar.

Fig. 2: Corección después de la cirugía de todas las lamelas e injerto dermograsa (2.2.8).