3.2.3 Ectropión inferior paralítico
MARKUS J. PFEIFFER
Introducción
La parálisis del nervio facial (capítulo 4.1) causa una debilidad del músculo orbicular. En casos leves la parálisis puede ser parcial y el párpado se mantiene en su posición. En los casos de una parálisis total, pero con los ligamentos palpebrales intactos, el párpado tiende a bajar solo poco (1-2 mm). La parálisis facial en combinación con laxitud palpebral causa un descenso es más importante del párpado y se observa una eversión del margen palpebral (ectropión paralítico). La solucion quirúrgica se basa en dos componentes: 1. elevar la lamela posterior mediante relajación de la lamela posterior y fijación lateral con cantoplastias, 2. elevar la lamela anterior separadamente mediante un colgajo musculocutáneo.
Abstract
Facial palsy (chapter 4.1 ) causes weakness of the orbicularis muscle. Simple cases can show a normal position of lower lid, because there is only a partial palsy. If the orbicularis muscle is completely paralized and the canthal tendons are intact, the lower lid tends to a lower position of only 1-2 mm. If facial palsy and lid laxity are present simultaneously, the lid descends more and the lid margin shows eversion (paralytic ectropium). The surgical correction is based in two components: 1. Relaxation and elevation of the posterior lamella by lateral and medial canthoplasties , 2. Elevation of the anterior lamella (skin-muscle-sheath).
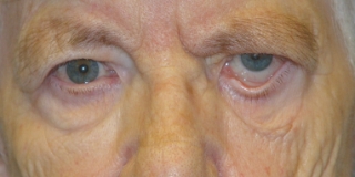
Posición del párpado inferior en la parálisis facial
La debilidad del músculo orbicular causa un descenso de la capa muscular por la falta de contracción y por su proprio peso. Si se unen los limbos corneales inferiores de ambos ojos por una línea, el párpado normal coincide con esta linea mientras el párpado paralítico esta situado por debajo. El ángulo del canto lateral esta más abierto (90°) en el lado de la parálisis que en el lado normal (<60°). A largo plazo la posición inferior del párpado no es reversible, porque se retrae el ligamento orbitopalpebral que une la parte lateral del párpado con el margen orbitario inferior.
![]() |
![]() |
Fig. 1: La línea blanca superior une los centros corneales. La línea blanca inferior (paralela) une los limbos inferiores. El párpado derecho paralítico esta situado dabajo de la linea blanca inferior. El párpado izquierdo coincide con la linea blanca inferior. |
Fig. 2: El ángulo del canto lateral esta más abierto (90°) en el lado de la parálisis que en el lado normal (<60°). |
Técnica quirúrgica: 1. Cantotomía y elevación de las lamelas
Se usa como acceso una cantotomía lateral hacía el periosteo del borde orbitario. La cantotomía se amplía lateralmente unos 8mm. A través de la cantotomía se secciona el ligamento orbitopalpebral para relajar la conección fibrosa entre los retractores y el margen orbitario. La cantotomía sirve como acceso y para fijar el párpado en el periósteo mediante una una cantoplástia (ver cantoplástias 3.4). El punto de fijación de la cantoplástia se puede hacer en un nivel más alto que el nivel original, para conseguir una posición más estable. Por la cantoplastia lateral se consigue tambien la elevación del musculo orbicular pretarsal. Para elevar la parte preseptal y la parte orbitaria del músculo orbicular necesitamos un colgajo musculocutáneo vertical ( ver técnica quirúrgica 2).
![]() |
![]() ![]() |
Fig. 3: A través de una cantotomía se relaja la lamela posterior y se tensa junto con el músculo orbicular pretarsal mediante una fijación al periosteo (flecha paralela al margen palpebral). La lamela anterior con el músculo orbicular preseptal y orbitario se eleva verticalemente en un segundo paso (flecha vertical) |
Fig. 4: Descenso del músculo orbicular (arriba): La debilidad del músculo orbicular causa un descenso de la capa muscular por la falta de contracción y por su proprio peso. Elevación del músculo (abajo) |
Técnica quirúrgica: 2. Elevación musculocutánea
Como segundo paso se separa el músculo orbicular orbitario del hueso cigomático y se eleva como colgajo músculocutaneo (músculo orbicular orbitario y preseptal) hacia arriba para suturarlo al periósteo (3 anclajes con 5-0 Nylon).
![]() |
![]() |
Fig. 5: Antes de operar: Parálisis facial derecha: descenso del párpado inferior derecho y aumento del ángulo del canto lateral. |
Fig. 6: Después de operar: Se ha usado como acceso una cantotomía lateral hasta el periosteo que luego se ha transformado en una cantoplástia. A través de la cantotomía se ha relajado el ligamento orbitomalar. El punto de fijación de la cantoplástia se ha hecho en un nivel más alto que el nivel original, para conseguir una posición más estable. |
![]() |
![]() |
Fig. 7: Antes de operar: Ectropión paralítico izquierdo con descenso de todas partes del músculo orbicular. |
Fig. 8: Después de operar: el músculo orbicular pretarsal se ha elevado mediante la cantoplástia lateral. El músculo orbicular preseptal y orbitario se ha elevado mediante un colgajo musculocutáneo. |








