2.4.5 Neurofibromatósis
MARKUS PFEIFFER
Introducción
La neurofibromatosis (Morbus Recklinghausen) tipo 1 es la forma orbitofacial causada por un defecto genético (defecto de un gen con transmisión autosómica dominate) que regula el crecimiento de las células de Schwann. Se caracteriz por un crecimiento excesivo de las células de Schwann con formación de un tejido benigno, el neurofibroma. En la zona orbitofacial se observa en la mayoría de los casos una infiltración tumorosa del párpado superior que causa una ptosis mecánica por la masa y el peso del tejido. El músculo elevador suele estar intacto.
Abstract
Neurofibromatosis (Morbus Recklinghausen) type 1 is the orbitofacial form caused by a genetic defect (defect of a gene, with autosomal - dominant transmisson), that controls the growth of the Schwann cells. The defect causes an excessive growth of the Schwann cells with the formation of a benign mass of tissue, the neurofibroma. In the orbitofacial area the most common manifestation is the infiltration of the upper lid by the abnormal tissue causing a mechanical ptosis. The levator muscle is usually not affected.
Técnica quirúrgica para corregir la ptosis mecánica en la neurofibromatósis tipo 1
La cirugía se realiza en dos pasos, en primer lugar se debe eliminar el tejido abundante del neurofibroma y en segundo lugar corregir la ptosis. Para no perder estructuras importantes de la lamela posterior, como la conjuntiva, el fondo de saco conjuntival, el tarso, el músculo elevador y la aponeurósis, recomiendo un acceso interlamelar y transmarginal. Las dos lamelas palpebrales, la anterior y la posterior, se dividen entrando por el margen palpebral. La division se amplia hacia arriba entre el tarso y el músculo orbicular. Por la invasión del neurofibroma, las estructuras no se podrán diferenciar con facilidad, pero se debe intentar llegar al septo orbitario para conseguir una separacion completa de las lamelas. Primero hay que tratar la lamela posterior e identificar el sistema elevador, se conecta el sistema elevador (músculo elevador y aponeurosis) al tarso, esto se combina con una cantoplastia lateral del párpado superior con precaución de no lesionar los orificios de la glándula lagrimall. Cuando se ha ajustado la altura de la lamela posterior del párpado (ver PTOSIS), se procede con la cirugía de la lamela anterior donde hay que eliminar las masas abundantes del fibroma y procurar mantener la capa del músculo orbicular. La lamela anterior se coloca encima de la lamela posterior.
![]() |
|
Fig.1: Se separan las dos lamelas del párpado entrando por el margen palpebral. La division se amplía hacia arriba entre el tarso y el músculo orbicular. Por la invasión del neurofibroma, las estructuras no se podrán diferenciar con facilidad pero hay que intentar llegar al septo orbitario para conseguir una separacion completa de las lamelas. |
Fig. 2: Después de la separación de las lamelas y la apertura del septo orbitario se intenta identificar las estructuras del músculo elevador y de la aponeurosis. Ambos tienen que ser conectados al tarso del párpado para elevarlo y ajustar su altura. Por la infiltración del tumor es difícil identificar la anatomía. Hay que fijarse si las lamelas se mueven cuando el paciente mira hacia arriba. |
![]() |
![]() |
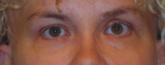
Fig. 3: Preoperatorio: Neurofibroma del párpado superior izquierdo con ptosis mecánica. |
Fig. 4: Postoperatorio: Correción de la ptosis por vía transmarginal y interlamelar y eliminación del tejido excesivo. |
Fig. 5: Izquierda: Preoperatorio: Neurofibroma del párpado superior Derecha: Postoperatorio después de la separación del párpado en tres lamelas. Falta la correción de la ptosis y los restos del fibroma en la zona temporal. |
|
|
Fig. 6: Izquierda: Separación del párpado en una lamela posterior y anterior. La lamela posterior se reduce al tamaño necesario para cubrir el globo ocular con anclaje al margen orbitario. Derecha: Separación de la lamela anterior entre la piel y músculo orbicular para mantener la capa muscular. |


